试题详情
- [材料题]
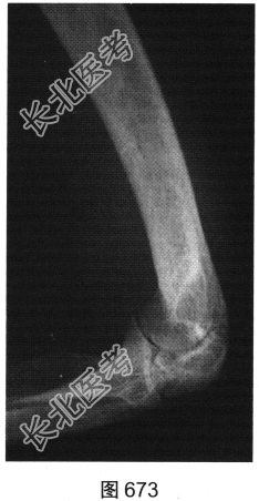
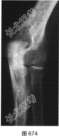
患者女性,62岁,右侧肘关节肿胀、疼痛1年余。肘关节正侧位X线片及CT检查见图673~图676。



- 多项选择题1.对该患者影像征象描述正确的是( )
A、关节腔积液
B、尺骨关节面囊状骨质破坏
C、肘关节面明显骨质增生硬化
D、肘关节软组织肿胀
E、尺骨近段骨膜反应
F、肘关节间隙变窄
G、骨质疏松
关注下方微信公众号,搜题查看答案

- 多项选择题2.根据题干中患者的临床表现及影像特征,应首先考虑为下列哪种疾病( )
A、风湿性关节炎
B、类风湿关节炎
C、创伤性关节炎
D、退行性变
E、痛风性骨关节炎
F、化脓性关节炎
G、关节结核
关注下方微信公众号,搜题查看答案

- 多项选择题3.有助于本病明确诊断的检查是( )
A、红细胞沉降率
B、结核菌素试验
C、骨核素扫描
D、HLA-B27
E、MRI
F、类风湿因子
G、血常规
关注下方微信公众号,搜题查看答案

- 多项选择题4.关于关节结核和化脓性关节炎,正确的描述是( )
A、关节结核时,受累及的关节骨端常见骨质疏松
B、化脓性关节炎晚期常引起关节的纤维性强直
C、关节结核晚期常引起关节骨性强直
D、化脓性关节炎时,受累及的关节骨端常见反应性骨质增生硬化
E、关节结核多先累及关节的边缘部
F、化脓性关节炎多先累及关节的承重部
关注下方微信公众号,搜题查看答案

热门试题
- 以下肾性骨病的影像学表现,不正确的是(
- 男,28岁, 左髋疼痛不适三年余,结合图
- 男,34岁, 大腿下段疼痛2年,可摸到肿
- 关于膝关节半月板撕裂影像检查,正确的有(
- 女,24岁, 反复发作的骨骼肌肉痛,结合
- Perkin方格正确的表述为A、用于股骨
- MRI在诊断急性化脓性骨髓炎方面,影像学
- 急性化脓性骨髓炎发病10天内X线平片检查
- 有关脊索瘤,描述错误的是( )A、多
- 诊断早期骨软骨缺血坏死最为敏感的检查方法
- 对类风湿关节炎患者,正确的摄影体位是(
- 下述疾病均可见假性骨折或Looser带,
- 关于桡骨远端骨折(Colles骨折)下列
- 1、患者MRI图片有哪些阳性征象(
- 下列哪些是MRI诊断关节疾病的优势A、时
- “多发性骨软骨瘤”诊断要点是 (
- 男,60岁, 因双髋关节反复疼痛2年余,
- 男,55岁, 腰背痛,反复感染, 尿蛋白
- 某患者疑Colles骨折,请选择合适的摄
- 下列有关骨折基本X线征象中,哪项正确