试题详情
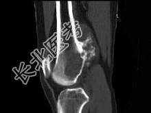
- 单项选择题男,34岁, 大腿下段疼痛2年,可摸到肿块, 结合图像,最可能的诊断是 ( )

A、骨肉瘤
B、软骨肉瘤
C、软骨瘤
D、纤维肉瘤
E、巨细胞瘤
关注下方微信公众号,搜题查看答案

热门试题
- 下腰椎黄韧带增厚并钙化主要引起( )
- 引起血清碱性磷酸酶升高的骨病是 (
- MR影像上常可见到液-液平面的病变是A、
- 化脓性关节炎的X线表现中,下列哪项出现较
- 慢性化脓性骨髓炎最主要的影像学表现是A、
- 氟骨症的主要X线表现为 ( )A
- 男,38岁, 左膝痛,受伤时出血较多,
- 有外伤史,结合图像, 最可能诊断是
- 硬膜外脓肿的MRI诊断依据是A、T
- 下列有关儿童短骨骨干结核表现是A、早期即
- Albright综合征临床表现不包括
- 骨样骨瘤典型X线征象是A、瘤巢及伴有周围
- 关于年龄与肿瘤发病关系的叙述,正确的是A
- 腰椎椎弓峡部骨折,X线摄片清晰显影于A、
- 软组织脓肿的CT表现,正确的为A、局部软
- 关于骨肌系统CT扫描,错误的是A、参考X
- 原发性骨肿瘤最常见的是 ( )A
- 男,71岁,胸背痛3周。结合胸椎MRI平
- 女,52岁, 足跟痛,手指运动僵硬, 结
- 男,38岁, 因左髋关节疼痛跛行1年半,