试题详情
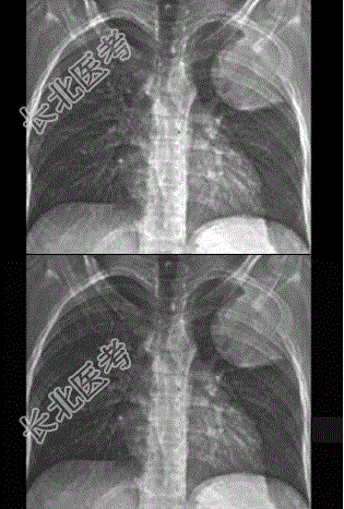
- 单项选择题女性,27岁。发热, 左侧胸部疼痛2个月余,结合影像学检查, 最可能的诊断是

A、骨肉瘤
B、肺癌
C、软骨肉瘤
D、骨样骨瘤
E、尤因肉瘤
关注下方微信公众号,搜题查看答案

热门试题
- 男,29岁, 行走时不慎跌倒,曾拟为左肱
- MRI诊断成人寰枢椎半脱位的标准是A、>
- 女,39岁。发现左大腿下段后部有一肿块,
- 1、初步考虑哪些疾病2、进一步诊断可选用
- CT诊断成人寰枢关节半脱位,标准是环椎前
- 胸片上常不能看到的骨结构有A、锁骨B、肋
- 椎间盘突出的CT直接征象包括A、椎间盘后
- Ⅲ度半月板撕裂的信号,MR表现为 (
- 关于淋巴管瘤的临床及影像特点,描述错误的
- 脂肪肉瘤中哪一类型恶性程度最高 (
- 符合脊柱结核MRI信号表现的是A、T
- 骨折已半年以上骨折断端仍有异常活动称为A
- 骶尾部和颅底部好发的肿瘤是A、骨髓瘤B、
- 色素沉着绒毛结节性滑膜炎病理特点为A、关
- 1、患者MRI图片有哪些阳性征象(
- 局限性骨化性肌炎CT征象包括A、初期表现
- 骨巨细胞瘤的临床、病理及MR表现,错误的
- 男,49岁, 右髋部疼痛1年半,近1个月
- 下列哪一组肿瘤均易发生骨转移A、甲状腺癌
- 女,5岁, 左踝疼痛,结合图像, 最可能