试题详情
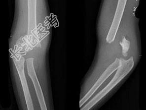
- 单项选择题男,8岁, 外伤后入院。结合图片,最可能的诊断是 ( )

A、Colles骨折
B、右肱骨髁上骨折
C、Smith骨折
D、孟氏骨折
E、青枝骨折
关注下方微信公众号,搜题查看答案

热门试题
- 韩-薛-柯病的X线表现为 (
- 女,30岁, 踝关节肿痛半年,且近外踝部
- 男,35岁, 皮肤可见咖啡色素斑,关节疼
- 关于“Colles骨折”,下列哪项不对
- 男,10岁。胫骨下端干骺端有一直径2mm
- 确定骨肉瘤诊断的本质性X线表现为A、骨折
- 婴儿骨髓炎的X线特点是A、以骨质破坏为主
- 软骨源性肿瘤的特征性影像学表现是(
- 男,23岁, 跛行,外展受限, 两下肢不
- 椎间盘突出的MRI间接征象有 (
- 类风湿关节炎早期X线表现有( )A、
- 对骨折的评估应包含骨折的对位和对线关系,
- 骨折的常见类型包括 ( )A、
- 椎间盘突出MRI间接征象为A、硬膜囊、脊
- 男,21岁, 有午后发热,夜间盗汗等,
- 类风湿关节炎最常见的起始部位( )。
- 骨纤维异常增殖症发生恶变,最常见恶变为下
- 1、影像学首先应做哪些检查2、CT片如下
- “良性骨肿瘤”发病率的顺序依次为 (
- 男,55岁, 发现右足肿块3个月余,结合