试题详情
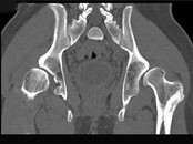
- 单项选择题男,23岁, 跛行,外展受限, 两下肢不等长,结合图像, 最可能的诊断是 ( )

A、髋关节中心脱位
B、髋关节后脱位
C、髋关节前脱位
D、先天性髋内翻
E、髋关节结核
关注下方微信公众号,搜题查看答案

热门试题
- 以下哪种肿瘤易形成肿瘤软骨A、骨纤维瘤B
- 男,35岁, 掌底有肿块,结合图像, 最
- 男,65岁, 小便不畅半年,腰骶部、骨盆
- 女,79岁, 双手肿块,疼痛, 结合图像
- 男,46岁, 双髋部疼痛,实验室检查血钙
- Perkin方格正确的表述为A、用于股骨
- 1、最可能的诊断是2、骨肉瘤的好发年龄是
- 早发先天性骨梅毒的X线表现中,哪项错误
- 有关腰椎椎管CT检查和测量,错误的是
- 有关尤文肉瘤的叙述哪项是错误的A、病变好
- 发病率最高的髓内肿瘤是 ( )A
- 下列哪项不是骨肿瘤的X线表现A、溶骨性破
- 椎弓崩裂最好发于A、椎弓根B、椎弓峡部C
- 肱骨外上髁骨骺出现的年龄为 (
- 关于骨关节结核,下列说法错误的是A、95
- 关于“单纯性骨囊肿”CT表现错误的是
- 痛风的X线表现有 ( )A、早
- 男,41岁, 腰部酸肿不适10多年,近年
- 关于四肢关节的X线描述正确的是A、X线所
- 骨质疏松可由以下哪些原因引起A、营养不良