试题详情
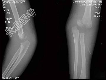
- 单项选择题女,1岁10个月, 右肘部外伤,如图所示, 最佳的诊断为 ( )

A、全骺分离
B、肱骨髁上骨折
C、肱骨髁上骨折并肘关节脱位
D、内上髁骨骺损伤
E、内上髁骨骺损伤并肘关节脱位
关注下方微信公众号,搜题查看答案

热门试题
- 1、从患者临床表现,应考虑是( )。
- 对于诊断多发性骨髓瘤,下列CT表现中哪项
- 可以累及关节软骨的良性骨肿瘤是 (
- 女,20岁, 左手第4掌骨处局部稍肿痛,
- 股骨颈嵌入骨折的表述,错误的是A、老年人
- 变性椎间盘邻近的椎体部位(终板)信号变化
- 椎缘骨的CT表现包括( )A、缺损区
- 判断椎体滑脱程度以哪种投照位置最好A、前
- “动脉瘤样骨囊肿”正确的演变顺序为
- 女,39岁。发现左大腿下段后部有一肿块,
- 男,60岁。肺癌术后2年, 腰背痛2个月
- 连接邻位椎板的韧带是A、黄韧带B、前纵韧
- 男,5岁, 足背肿痛,结合图像, 最可能
- 软骨的构成是:( )A、软骨细胞B、
- 女,58岁, 颈部疼痛,活动受限, 结合
- 关于骨结构的描述中,下列哪项是正确的
- 骨骺、干骺端结核的特征性X线表现为
- 右胫骨下段骨折摄片时至少应包括 (
- 有关椎间盘变性描述不正确的是 (
- 下列哪项是造成硬膜外压迫的最常见的原因