试题详情
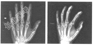
- 单项选择题女,20岁, 左手第4掌骨处局部稍肿痛,质硬, 皮温不高。结合左手正斜位片,最可能的诊断为

A、内生软骨瘤
B、骨结核(骨气臌)
C、骨囊肿
D、骨巨细胞瘤
E、非骨化性纤维瘤
关注下方微信公众号,搜题查看答案

热门试题
- 骨软骨瘤影像表现错误的是A、X线上可以观
- 原发性骨肿瘤的CT线表现多为A、膨胀性骨
- 外生骨疣是指( )。A、致密型骨瘤B
- 骨样骨瘤最佳检查方法是A、X线平片B、H
- 关于骨软骨瘤的叙述错误的是( )。A
- 以下肾性骨病的影像学表现,不正确的是(
- 椎体血管瘤MRI表现 ( )A、
- 患者足痛,如图所示, 最可能诊断为
- 有关原发性脊髓栓系综合征,错误的是(
- 腕部外伤,临床上有腕鼻烟窝部压痛及肿胀应
- 下列哪项不构成X线上关节间隙 (
- 类风湿关节炎最常见的起始部位( )。
- 以下骨结构或病理改变中,X线或CT上表现
- 下述骨骼疾病中,除哪种疾病外均可引起胸椎
- 肋软骨钙化最后是第几肋骨A、1B、2C、
- 下列转移性骨肿瘤特点中,哪项是错的
- 下列哪项不是佝偻病的X线征象A、骺板先期
- 骨质疏松的X线表现有( )。A、呈鱼
- 与骨样骨瘤的CT表现不符的是 (
- 克氏(Klinefelter)综合征的X