试题详情
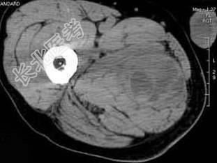
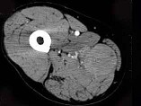
- 单项选择题男,30岁, 主诉右大腿肿块年余,逐渐增大, 局部胀痛及压痛,根据图像表现, 最可能的诊断是 ( )

A、脓肿
B、血管瘤
C、脂肪瘤
D、横纹肌肉瘤
E、神经纤维瘤
关注下方微信公众号,搜题查看答案

热门试题
- 骨骼的基本病变包括 ( )A、
- 剥脱性骨软骨炎好发于 ( )A、
- 男,56岁, 肺癌术后2年余,左髋部疼痛
- 1、最可能的诊断是 ( )2、发
- 下列名称中,无骨质硬化表现为 (
- 急性化脓性骨髓炎骨膜下脓肿形成时间一般在
- 多发性转移瘤,MRI检查时哪种序列最敏感
- “椎间盘Sharpey纤维”,MRI检查
- 下列X线表现不属于化脓性骨髓炎的是A、软
- 与MRI比较,CT显示以下哪一种病变较好
- 骨巨细胞瘤的典型X线征象A、位于干骺端的
- 以下良性骨肿瘤,不会恶变的是 (
- 女,9岁, 背部隐痛,发热1月余, MR
- 下列关于股骨头骨骺骨缺血坏死的X线表现中
- 成人股骨头缺血坏死的早期X线征象是A、双
- 男,24岁, 曾有外伤史,两侧髋部疼痛不
- 女,21岁, 右膝部感不适,结合图像,
- 骨骼在X线片、透视荧屏上表现为A、X线片
- 椎间小关节囊是指 ( )A、包绕
- 男,18岁,CT扫描发现脊柱旁软组织肿块