试题详情
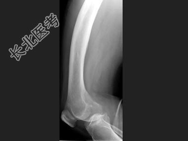
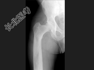
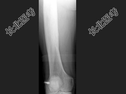
单项选择题男,67岁, 右侧股骨痛,结合图像, 最可能的诊断是 ( )

A、骨纤维结构不良

B、维生素D缺乏病

C、成骨不全

D、软骨发育不全

E、畸形性骨炎

  • 关注下方微信公众号,搜题查看答案

热门试题