试题详情
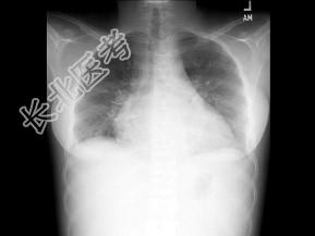
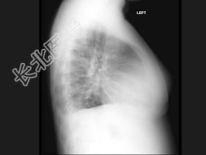
- 单项选择题女,17岁, 背部和正中胸部急性疼痛和带状疱疹感染,结合图像, 最可能的诊断是 ( )

A、镰状细胞贫血
B、地中海贫血
C、系统性红斑狼疮
D、类风湿关节炎
E、白血病
关注下方微信公众号,搜题查看答案

热门试题
- 男,21岁, 手部不慎摔伤,局部疼痛,
- “皂泡影”常见于( )。A、软骨瘤B
- 女,8岁, 外伤后致右胫骨骨折,如图所示
- 男,55岁, 发现右足肿块3个月余,结合
- 女,4岁, 左腿跛行2个月。结合图像,最
- 1、结合病史及影像资料,考虑为A、锁骨骨
- 肋骨骨折的病人,胸透的主要目的是A、证实
- 男,28岁, 左手臂上部可扪及一硬结,有
- 常见于骨干的病变,除外( )。A、骨
- 骨样骨瘤最佳检查方法是A、X线平片B、H
- 下述与椎体骺板缺血坏死为同一种疾病的有(
- 化脓性骨髓炎的基本X线征象,最为特征性表
- 下述“Smith骨折”知识,哪项不对
- 骨巨细胞瘤的特征性表现是A、溶骨性、膨胀
- 椎弓崩裂最好发于A、椎弓根B、椎弓峡部C
- 男,50岁, 有腰腿疼痛两个月,疼痛可向
- 男,56岁, 右髋部疼痛,结合图像, 最
- 早发先天性骨梅毒的X线表现中,哪项错误
- 有关髋关节前后位摄影的叙述,正确的是(
- 腰椎间盘疝可以形成椎间盘游离体,下列关于