试题详情
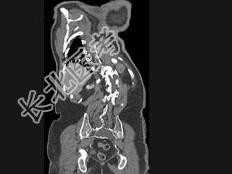
- 单项选择题男,24岁, 四肢细长,蜘蛛指, 肌张力降低,结合图像, 最可能的诊断是 ( )

A、软骨发育不全
B、骨斑点症
C、马方综合征
D、神经纤维瘤病
E、特发性骨质溶解症
关注下方微信公众号,搜题查看答案

热门试题
- 关于尤因(Ewing)肉瘤的描述,不正确
- 在痛风表现中,不正确的是A、30岁以上发
- 椎缘骨的CT表现包括( )A、缺损区
- 男,20岁, 膝关节前方肿痛,轻度发红、
- 成人股骨头缺血坏死的早期X线征象是A、双
- 下述骨、关节的基本病变,错误的是 (
- “急性化脓性骨髓炎”最好发于 (
- 15岁,男性, 臀疼,如图所示, 最可能
- 下列哪一项不是骨折的X线征象 (
- 男,46岁, 无痛性腹部肿块10月余,进
- 男,35岁, 曾有结核病史,现有午后发热
- 关于“骨囊肿”的描述,不包括哪项 (
- 男,34岁,6月前劳累后出现右肩部疼痛,
- 疲劳性骨折的骨折线多表现为A、边缘清楚的
- 下列哪种骨转移的临床症状相对较轻 (
- 正常髋关节MR行横轴位及冠状位均可清楚显
- 女,79岁, 双手肿块,疼痛, 结合图像
- 指骨化脓性骨髓炎的X线表现,不正确的是A
- 骨关节外伤后行X线检查的目的是 (
- 男,18岁, 右股骨肿瘤术后,出现大腿中