试题详情
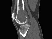
- 单项选择题女,38岁, 因右大腿远端部有疼痛,可摸到肿块, 结合图像,最可能的诊断是 ( )

A、非骨化性纤维瘤
B、骨囊肿
C、骨纤维异常增殖症
D、动脉瘤样骨囊肿
E、骨巨细胞瘤
关注下方微信公众号,搜题查看答案

热门试题
- 1、最可能的诊断是2、骨肉瘤的好发年龄是
- 骨肉瘤的成分不包括( )。A、肿瘤性
- 腰椎术后不良综合征原因有 ( )
- 下述"骨软骨瘤"诊断要点中,哪项不对A、
- 化脓性关节炎与结核性关节炎的主要X线不同
- 维生素D缺乏病恢复期长骨X线改变的表现是
- 患者,男,15岁。洗澡时无意中触及右大腿
- 以下有关痛风临床表现的叙述,错误的是(
- 骨嗜酸性肉芽肿的基本X线改变有 ( )A
- 判断椎体滑脱程度以哪种投照位置最好A、前
- 儿童骨折的特点是( )A、嵌入性骨折
- 男,40岁, 慢性左膝痛,结合图像, 最
- 男,14岁, 左小腿近端疼痛半年余,间断
- 儿童最常见的颈髓肿瘤是 ( )A
- 关于年龄与肿瘤发病关系的叙述,正确的是A
- 强直性脊柱炎MRI诊断,正确的为A、病变
- 软组织内的黏液性肿瘤应该与以下哪些肿瘤相
- 椎管狭窄时,CT可出现A、椎体边缘骨质增
- 腰椎两旁的腰大肌影起于 ( )A
- 构成骨组织的是 ( )A、骨细胞