试题详情
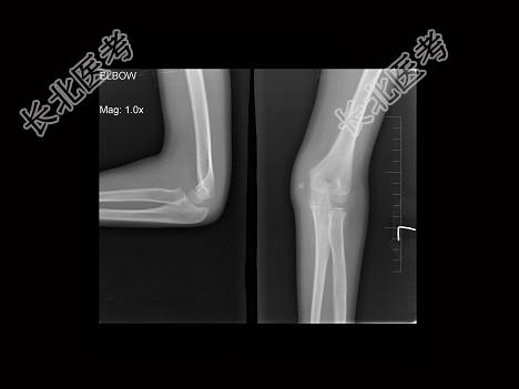
- 单项选择题男,9岁, 左肘外伤,结合图像, 最可能的诊断为 ( )

A、左肱骨内上髁骨骺1度分离
B、左肱骨内上髁骨骺2度分离
C、左肱骨内上髁骨骺3度分离
D、左肱骨内上髁骨骺4度分离
E、左肱骨内上髁骨骺5度分离
关注下方微信公众号,搜题查看答案

热门试题
- 男,9岁, 左肘外伤,结合图像, 最可能
- 男,25岁, 额部无痛性隆起2月余,结合
- 男,60岁, 左股骨痛1年余,结合图像,
- 判断椎体滑脱程度以哪种投照位置最好A、前
- 男,65岁, 小便不畅半年,腰骶部、骨盆
- 男,21岁, 有午后发热,夜间盗汗等,
- 男,17岁, 下肢畸形,有皮肤色素沉着,
- 软组织内的骨化或钙化常可见于下列哪些情况
- 婴幼儿和儿童的骨髓炎的特点有 (
- 下述哪种肿瘤来源于骨髓组织 (
- 男,50岁, 有腰腿疼痛两个月,疼痛可向
- 男,16岁, 左膝痛,结合图像, 最可能
- 男,16岁, 大腿可触及柔软、无痛性肿块
- 骨折愈合修复过程中,形成骨痂的转机是A、
- 男,2岁, 发育迟缓,头颅软, 结合图像
- 男,35岁, 左髂部剧烈疼痛,尤以夜间明
- 男,6岁, 睡眠差、夜惊、多汗、出牙较迟
- 下述关于“肋骨先天性畸形”,哪项错误
- 下列哪项不符合股骨头缺血性坏死的表现
- 指出属于软骨类的肿瘤是 ( )A