试题详情
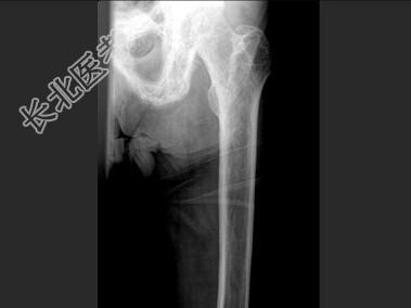
- 单项选择题男,60岁, 左股骨痛1年余,结合图像, 最可能的诊断是 ( )

A、骨纤维异常增殖症
B、Paget病
C、髋关节结核
D、股骨头缺血坏死
E、化脓性骨髓炎
关注下方微信公众号,搜题查看答案

热门试题
- 脊柱结核常见于 ( )A、青年人
- 下述描述不符合骨巨细胞瘤的表现的是A、长
- 女,52岁, 足跟痛,手指运动僵硬, 结
- 下述有关骨髓瘤的说法,哪项错误 (
- 骨转移瘤最多见于 ( )A、骨
- 出生6个月的男婴,摔地后右手红肿, 结合
- “骨母细胞瘤”分型为 ( )A、
- 下列疾病常常无骨膜反应的是A、内生软骨瘤
- 骨折断端移位的描述中,正确的为A、横向移
- 男,23岁, 左大腿远端疼痛,夜间明显,
- 男,42岁, 运动员,举重时左胸壁突然疼
- 影响钙磷代谢的主要因素为A、甲状旁腺素B
- 下列哪项不是佝偻病的X线征象A、骺板先期
- 骨质疏松的X线表现有( )。A、呈鱼
- 关于双侧椎动脉MRA,正确的描述是
- 女,15岁, 发现大腿远端肿块1周,无明
- 可以累及关节软骨的良性骨肿瘤是 (
- 关于骨转移瘤,下列不正确的是A、是最常见
- 下列哪一项不是骨折的X线征象 (
- 长期反复的外力作用于骨的某一部位,可逐渐