试题详情
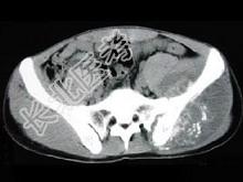
- 单项选择题男,35岁, 左髂部剧烈疼痛,尤以夜间明显, 可摸到肿物,结合图像, 最可能的诊断是 ( )

A、骨巨细胞瘤
B、软骨肉瘤
C、骨转移瘤
D、骨肉瘤
E、软骨瘤
关注下方微信公众号,搜题查看答案

热门试题
- 维生素D缺乏病恢复期长骨X线改变的表现是
- 动脉瘤样骨囊肿临床、影像学表现正确的是A
- 青少年患者,踝痛,最可能的诊断是 (
- 女,17岁, 左髋部酸胀不适半年,骨盆正
- 男,65岁, 腰背痛3个月,尿本—周蛋白
- 根据所提供图像,最可能的诊断是 (
- 非骨化性纤维瘤描述,错误的是( )。
- 肌腱病变的超声征象,正确的为A、肌腱损伤
- 髋关节不能做的运动是( )。A、屈伸
- MR影像上常可见到液-液平面的病变是A、
- 骨化中心出现延迟的疾病是 ( )
- 关于长管骨结核,正确的描述是( )A
- 关于骨结构的描述中,下列哪项是正确的
- 关于MRI检查骨折方面论述不正确的是A、
- 男,35岁, 左髂部剧烈疼痛,尤以夜间明
- 维生素A过多症的X线表现不包括 (
- 女,55岁, 第三趾肿胀,结合图像, 最
- 如图所示,该青少年的最可能的诊断是
- 脂肪瘤多见于下述哪些部位 (
- 色素沉着绒毛结节性滑膜炎的最佳影像检查方