试题详情
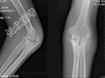
- 单项选择题男,61岁, 低烧,消廋, 胸片示有结核病灶,结合图像, 最可能诊断是 ( )

A、肘关节结核
B、肘关节退行性变
C、骨折
D、未见异常
E、类风湿关节炎
关注下方微信公众号,搜题查看答案

热门试题
- 如图所示,最可能的诊断是 ( )
- 男,36岁, 从高处摔下,足部受伤, 结
- 女,15岁, 发现大腿远端肿块1周,无明
- 指骨化脓性骨髓炎的X线表现,不正确的是A
- 女,5岁, 左踝疼痛,结合图像, 最可能
- 男,16岁, 左膝关节有外伤史,现肿痛,
- 根据软骨所含纤维不同,软骨可分为 (
- 下述关于“巨细胞瘤”和“动脉瘤样骨囊肿”
- 女,17岁, 左髋部酸胀不适半年,骨盆正
- 下列哪项不是亲骨性转移的肿瘤 (
- 股骨头缺血坏死时MRI"双线征"特点为A
- 脊椎椎弓裂以何部位最常见 ( )
- 起源于脉管组织的恶性肿瘤(相对恶性)为
- 男,35岁, 皮肤可见咖啡色素斑,关节疼
- 女,14岁, 左大腿上部轻度疼痛1周,结
- 腰椎CT显示椎间盘超出椎体边缘,后缘凹陷
- 骨骺、干骺端结核的特征性X线表现为
- 特发性骨质溶解症主要指发生于下述哪个部位
- 强直性脊柱炎的影像学表现不对的是(
- 动脉瘤样骨囊肿CT表现,一般不会出现A、