试题详情
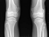
- 单项选择题女,15岁, 发现大腿远端肿块1周,无明显疼痛, 结合图像,最可能诊断是 ( )

A、骨质增生
B、软骨瘤
C、骨肉瘤
D、骨瘤
E、骨软骨瘤
关注下方微信公众号,搜题查看答案

热门试题
- 佝偻病的常见病因为A、饮食性维生素D缺乏
- 下述是原发恶性骨肿瘤的X线表现的是A、边
- 哪些原因可引起寰枢关节半脱位 (
- 男,6岁, 尿量明显增多伴眼球突出1年,
- 患者足痛,如图所示, 最可能诊断为
- 与MRI比较,CT显示以下哪一种病变较好
- 骨骺、干骺端结核的特征性X线表现为
- 男,34岁,6月前劳累后出现右肩部疼痛,
- 男,46岁, 无痛性腹部肿块10月余,进
- 1、对该患者影像征象描述正确的是(
- 脊椎骨折可出现以下哪些表现( )A、
- 急性化脓性骨髓炎的X线摄片,不会出现的征
- 下列属于亲骨性肿瘤的是A、肾癌B、甲状腺
- 患者女,6岁, 左下肢跛行三年,直立时臀
- 骨肉瘤的主要X线征象包括A、骨质破坏B、
- MRI诊断成人寰枢椎半脱位的标准是A、>
- 骨缺血性坏死常见于 ( )A、
- 有关肩关节病变,不正确的是 (
- 原发性骨肿瘤的CT线表现多为A、膨胀性骨
- 下述哪项属常染色体隐性遗传疾病 (