试题详情
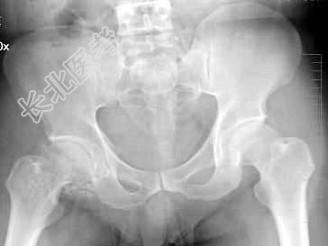
- 单项选择题男,38岁, 右髋关节疼痛不适1年余,跛行, 骨盆正位片如图所示,最可能的诊断是 ( )

A、右髋关节退行性骨关节病
B、右髋关节滑膜骨软骨瘤病
C、右髋关节骨化性肌炎
D、以上均不正确
E、以上均正确
关注下方微信公众号,搜题查看答案

热门试题
- 正常成年人第二颈椎以下的椎管前后径的范围
- 神经根走行于 ( )A、神经孔上
- 1、X线平片检查如图,考虑为何病
- MRI在诊断急性化脓性骨髓炎方面,影像学
- 长期反复的外力作用于骨的某一部位,可逐渐
- 骨骺、干骺端结核的特征性X线表现为
- CT发现右侧肱骨骨干髓腔内密度增高,骨皮
- 下列哪项不是骨肿瘤的X线表现A、溶骨性破
- 下列不是月骨缺血坏死的X线征象的是A、密
- 男,28岁, 右上肢疼痛,夜间加重, 服
- 男,28岁, 喜爱球类运动,内侧肘部疼痛
- 下列哪项不是亲骨性转移的肿瘤 (
- 关于骨转移瘤,下列不正确的是A、是最常见
- 1、患者影像学表现有( )A、C
- 尤因肉瘤的X线及CT表现不包括A、溶骨性
- 骨软骨瘤的临床表现( )。A、生长较
- 男,16岁, 咳嗽十余年,结合图像, 最
- 下列属于维生素D缺乏性佝偻病X线表现特点
- 下列转移性骨肿瘤特点中,哪项是错的
- 急性化脓性骨髓炎主要感染途径是 (