试题详情
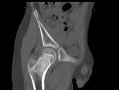
- 单项选择题男,13岁, 右髋部疼痛不适,无红肿, 结合所提供的图像,最可能的诊断是 ( )

A、非骨化性纤维瘤
B、骨巨细胞瘤
C、畸形性骨炎
D、内生软骨瘤
E、骨纤维结构不良
关注下方微信公众号,搜题查看答案

热门试题
- 颈椎病发病率最高的是 ( )A、
- 强直性脊柱炎常侵犯的外周关节是A、髋关节
- 女,44岁, 有外伤史,上臂远端疼痛,
- 骨肿瘤和肿瘤样病变中,骨皮质膨胀呈"吹泡
- 有关环枢关节的描述,错误的是 (
- 1、最可能的诊断是2、若为多发性骨髓瘤,
- 骨质破坏的病因包括 ( )A、
- 关于“骨囊肿”的描述,不包括哪项 (
- 腕骨角增大见于下述哪种疾病 (
- 女,28岁, 反复骨骼疼痛,结合图像,
- 患者,男,15岁。洗澡时无意中触及右大腿
- 如图所示,最可能的诊断是 (
- 关节根据其活动程度可分为 (
- 男,56岁, 骶部包块7月余,持续性隐痛
- 巨人症与肢端肥大症初期内分泌症状包括
- 慢性化脓性骨髓炎最主要的影像学表现是A、
- 关于膝关节十字韧带撕裂的描述,错误的是
- 下列哪项不构成X线上关节间隙 (
- 1、为了明确诊断,需要做以下哪些检查(
- 下述“尤文肉瘤”知识,哪项正确 (