试题详情
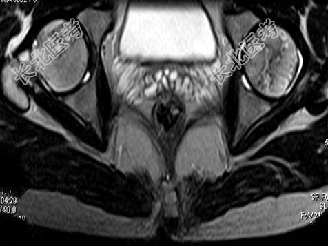
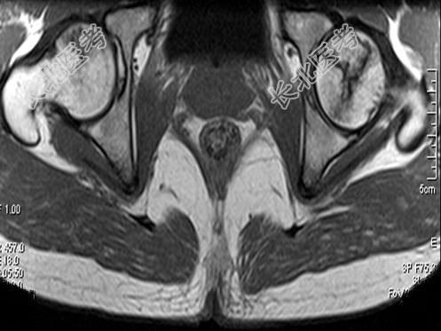
- 单项选择题男,24岁, 曾有外伤史,两侧髋部疼痛不适数月, 结合所提供的图像,最可能的诊断是 ( )

A、股骨头无菌性坏死
B、髋关节退行性变
C、未见异常
D、化脓性骨关节炎
E、类风湿关节炎两侧
关注下方微信公众号,搜题查看答案

热门试题
- 易出现骨转移的盆腔内肿瘤是:A、卵巢B、
- 诊断急性化脓性骨髓炎,MRI不优于常规X
- 出现下列哪项最应考虑“骨软骨瘤”恶变可能
- 下列关于“恶性骨肿瘤”好发年龄中,哪项是
- 男,33岁, 膝部外伤后外侧有触痛,结合
- 以下属于骨折断端对位不良的有A、横向移位
- 肱骨可有如下变异,应除外哪项 (
- 男,35岁, 下腰部痛,L4-5棘突旁有
- 有关骨髓病变,下列描述正确的是A、骨髓浸
- 肩关节的斜矢状位扫描主要用来显示A、冈上
- 长骨结核的影像表现不包括( )。A、
- 男,6岁, 右肘部外伤,结合图像, 最可
- 男,47岁, 关节炎病史20年,结合图像
- 强直性脊柱炎的病变首先侵犯的部位是A、脊
- 腕部外伤,临床上有腕鼻烟窝部压痛及肿胀应
- 女,8岁, 外伤后致右胫骨骨折,如图所示
- 骨膜增生的CT表现,正确的是A、CT能显
- ①骨肉瘤、②软骨肉瘤、③纤维肉瘤、④脊索
- 前臂孟氏骨折是 ( )A、尺骨中
- 男,18岁, 右锁骨轻微疼痛,伴局部肿胀