试题详情
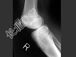
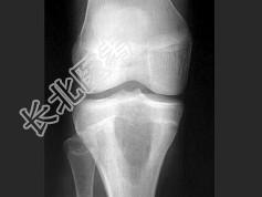
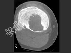
- 单项选择题女,13岁, 右膝部痛,结合图像, 最可能的诊断是 ( )

A、胫骨近端动脉瘤样骨囊肿
B、胫骨近端成软骨细胞瘤
C、胫骨近端骨巨细胞瘤
D、胫骨近端内生软骨瘤
E、以上都不是
关注下方微信公众号,搜题查看答案

热门试题
- 疲劳性骨折的骨折线多表现为A、边缘清楚的
- 以下哪种肿瘤易形成肿瘤软骨A、骨纤维瘤B
- 有潜在恶性倾向的良性骨肿瘤是A、骨囊肿B
- 患者,女, 24岁。腰痛2个月余,查体:
- 关节结核的描述不包括( )。A、多继
- 成骨不全症需与下列各病进行鉴别诊断,应除
- 女,25岁, 扭伤后足中部痛,结合图像,
- 男,28岁, 喜爱球类运动,内侧肘部疼痛
- 来源于骨髓及造血组织的骨肿瘤是 (
- 男性,41岁。颈部持续性疼痛1个月余,
- 血管瘤多发生于 ( )A、长骨骨
- 骨肉瘤最早发生转移的部位通常是A、肝B、
- 骨骺Salter-HarrisⅣ型损伤是
- 肩关节的斜矢状位扫描主要用来显示A、冈上
- 1、根据上述症状及体征,最可能诊断为
- 疲劳骨折最好发部位之一是A、第二跖骨B、
- 患者足痛,如图所示, 最可能诊断为
- 蒙泰贾(Monteggia)骨折是指
- 开放性神经管闭合不全伴随的畸形包括(
- 脂肪肉瘤包括哪些瘤细胞 ( )