试题详情
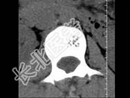
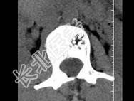
- 单项选择题根据所提供的图像,最可能的诊断 ( )

A、骨结核
B、多发性骨转移
C、骨血管瘤
D、退行性变
E、骨质疏松
关注下方微信公众号,搜题查看答案

热门试题
- 软组织脂肪瘤MRI信号特点为A、长T
- 8岁男孩,外伤后感左肘关节肿痛, 行左肘
- 脊髓内不伴有脊髓空洞症肿瘤是 (
- 关节结核的描述不包括( )。A、多继
- 骨骼病变的X线表现不包括A、骨质疏松B、
- 关于反Colles骨折的描述正确的是A、
- 寰枢关节脱位与韧带损伤有关,此韧带是A、
- 下列关于脊柱肿瘤描述错误的是 (
- 女,6岁, 外伤后左肘部肿痛,活动受限,
- 目前诊断半月板撕裂敏感性和特异性最高的影
- 脊椎结核的较常见X线表现有 (
- 髓内肿瘤中以哪种组织学类型最常见 (
- 肩关节间隙宽约A、1~2mmB、2~3m
- 骨髓的主要成分是:( )A、红细胞B
- 栅栏样改变是椎体血管瘤的特征性表现,在C
- 下列哪种体位会使椎管狭窄程度加重 (
- 有关尤文肉瘤的叙述哪项是错误的A、病变好
- 男,23岁, 右股骨下段肿胀、疼痛伴发热
- 患者,男,25岁。胫骨上段疼痛2个月,测
- 1、若该患者腰椎及骨盆X线平片显示骨内多