试题详情
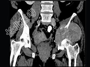
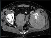
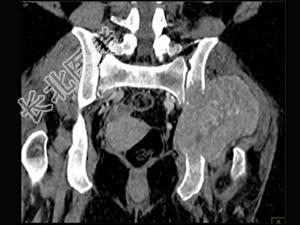
- 单项选择题男,56岁, 肺癌术后2年余,左髋部疼痛, 夜间加重,结合图像, 最可能的诊断是 ( )

A、骨肉瘤
B、骨转移
C、多发性骨髓瘤
D、骨软骨瘤
E、软骨肉瘤
关注下方微信公众号,搜题查看答案

热门试题
- 右胫骨下段骨折摄片时至少应包括 (
- 患者,男, 40岁。CT显示腰2椎体骨小
- 下列哪种肱骨骨折多见于儿童,且为肘部最常
- 女,19岁, 左髋疼痛、活动受限伴跛行6
- 儿童期长骨发育和X线解剖表述错误的是A、
- 根据所提供图像,最可能的诊断是 (
- 男,25岁, 额部无痛性隆起2月余,结合
- 患者,男,36岁。自述膝关节间歇性隐痛、
- 关于骨瘤的CT表现,不正确的是A、表现为
- 下列哪项临床表现对诊断骨髓瘤最有价值A、
- 女,55岁, 跌倒后右手痛,结合X线平片
- 男,22岁, 滑冰时摔倒右手撑地时受伤,
- 下列关于“骨瘤”的描述中,哪项错误
- 关于骨软骨瘤的叙述错误的是( )。A
- 骨折的并发症和后遗症不包括A、外伤后骨质
- 黏多糖贮积症中哪几型所致的骨病变最重
- 疲劳性骨折的骨折线多表现为A、边缘清楚的
- 下列疾病常常无骨膜反应的是A、内生软骨瘤
- 男性,32岁。髋部疼痛, 结合图像,最可
- 氟骨症的X线表现有 ( )A、