试题详情
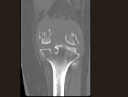
- 单项选择题男,36岁, 膝关节疼痛8年余,活动受限, 其周围可触及肿块,结合图像, 最可能的诊断是 ( )

A、骨巨细胞瘤
B、滑膜肉瘤
C、血友病性关节炎
D、色素沉着绒毛结节性滑膜炎
E、类风湿关节炎
关注下方微信公众号,搜题查看答案

热门试题
- 下列骨肿瘤的叙述正确的是 ( )
- “骨母细胞瘤”分型为 ( )A、
- 下述疾病均可出现Schmorl结节,但应
- 以下病变中不出现“泥沙”状死骨的有(
- 脊椎结核的较常见X线表现有 (
- 若为多发性骨髓瘤,MRI的T
- 腰椎CT示椎小关节间隙狭窄,内含气体,
- 男,38岁, 颈部疼痛伴低热1个月余,曾
- 软骨肉瘤的X线表现包括A、中心型软骨肉瘤
- 女,12岁, 右小腿肿胀,疼痛, 发热3
- 甲状旁腺功能亢进最具特征的X线征象是A、
- 骨折愈合修复过程中,形成骨痂的转机是A、
- 软骨组织发生的良性肿瘤,是A、骨软骨瘤B
- 男,10岁, 左膝关节反复肿胀,伴低热2
- 外伤引起的椎体压缩性骨折X线片多见于A、
- 男,18岁, 肩部外伤,疼痛、活动受限,
- 女,58岁, 颈部疼痛,活动受限, 结合
- 关于急性化脓性骨髓炎,下列不正确的是A、
- 正常成年人胸椎椎管前后径范围为 (
- 好发于40岁以上的“恶性骨肿瘤”是