试题详情
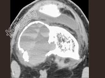
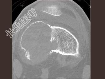
- 单项选择题男,24岁, 左大腿及膝部痛,结合图像, 最可能的诊断是 ( )

A、骨巨细胞瘤
B、骨囊肿
C、成软骨细胞瘤
D、动脉瘤样骨囊肿
E、骨肉瘤
关注下方微信公众号,搜题查看答案

热门试题
- 下列“脊柱结核”平片表现中,不含哪项
- 患者,男性,5岁。右膝关节肿胀、疼痛1年
- 属于骨恶性肿瘤的是 ( )A、皮
- 慢性化脓性骨髓炎最主要的影像学表现是A、
- 对于25岁男性的正常小腿照片,下列正确的
- 以下疾病,不发生骨髓水肿的是A、一过性骨
- 男,56岁, 肺癌术后2年余,左髋部疼痛
- 关节根据其活动程度可分为 (
- 男,8岁, 外伤后入院。结合图片,最可能
- 动脉瘤样骨囊肿CT表现为A、病变呈囊状膨
- 女,25岁, 颈部疼痛2年。CT示颈
- 1、关于病变发生部位,叙述正确的是2、对
- 男,36岁, 从高处摔下,足部受伤, 结
- 男,35岁, 掌底有肿块,结合图像, 最
- 下列哪种体位会使椎管狭窄程度加重 (
- 椎体骨与椎间盘破坏并存时,最先考虑哪种疾
- 有关骨折断端移位的描述中不正确的有A、横
- 代谢性骨病的常见X线表现有 (
- 股骨头缺血坏死在T
- 有关椎间盘变性的叙述,错误的是 (