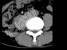
试题详情
- 单项选择题男,45岁, 腰痛,结合图像, 最可能的诊断是 ( )

A、椎间盘膨出
B、椎间盘突出
C、椎间盘未见异常
D、腰椎骨质增生
E、前纵韧带钙化
关注下方微信公众号,搜题查看答案

热门试题
- 男,35岁, 下腰部痛,L4-5棘突旁有
- 可以累及关节软骨的良性骨肿瘤是 (
- 哪个部位的化脓性骨髓炎最易形成的脓肿
- 下列哪一组肿瘤均易发生骨转移A、甲状腺癌
- 动脉瘤样骨囊肿多见于哪个年龄段 (
- 椎弓崩裂性脊椎滑脱X线、CT特点为A、椎
- 下列哪种表现只见于“脊柱化脓性骨髓炎”,
- 滑膜骨软骨瘤病的临床表现包括 (
- 下列脊柱病变中,椎间盘破坏发展最快的是
- 男,55岁, 腰痛半年余,查体本周氏蛋白
- 1、根据上述病史可考虑哪些疾病2、患者X
- 男,59岁, 硬膜外麻醉后背痛1周余,结
- 慢性化脓性骨髓炎的X线表现中,哪项不对
- 慢性铅中毒的主要临床表现为 (
- 有关骨发育的描述,下列哪项错误 (
- 男,13岁,右髋疼痛2年,右耻、坐骨部疼
- 女,12岁, 右小腿肿胀,疼痛, 发热3
- 股骨头无菌性坏死早期诊断最佳CT检查方法
- 骨肿瘤样病变不包括( )。A、骨纤维
- 男,32岁, 右髂骨区疼痛、肿胀,结合图