试题详情
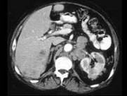
- 多项选择题男,54岁, 左侧腰痛,伴间歇性血尿2个月余, 结合所示图像,下列哪项描述正确 ( )

A、左侧肾癌
B、肝内多发转移癌
C、肝癌
D、左肾转移癌
E、腹主动脉旁及左肾门区淋巴结转移
关注下方微信公众号,搜题查看答案

热门试题
- 醛固酮腺瘤患者的临床表现包括A、高血压B
- 肾癌X线血管造影中,错误的是 (
- 最常见的女性生殖系统结核是下列哪种
- 膀胱三角区正确的描述是A、膀胱底部两侧至
- CT平扫示左肾周低密度灶,增强扫描分泌期
- 1、在选择影像检查方法前,应先了解患者哪
- 女,25岁, 持续性无尿1周,有严重外伤
- 当肾癌侵犯下腔静脉形成瘤栓,而无淋巴结或
- 以下方法中,诊断肾上腺疾病最佳的是A、腹
- 盆腔区照片避孕环的正常位置是A、耻骨联合
- 慢性肾盂肾炎的X线表现,正确的是(
- 1、根据上述病例,引起血尿症状的病变可能
- X线检查中膀胱癌有定性诊断价值的表现是A
- 卵巢囊肿的病理类型包括A、卵泡囊肿B、单
- 男,32岁, 有外伤史,根据所示图像,
- 在X线平片检查中,能够显示肾脏的哪些异常
- 患者,女, 58岁。绝经19年,阴道少量
- 关于肾癌,下列哪种说法不正确A、肾盏受压
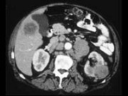
- 女,43岁, 左侧腰部不适2年余,结合所
- 突然腹痛伴有血尿3天,来院行CT检查,