试题详情
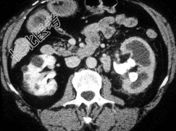
- 单项选择题根据所提供的图像,最可能的诊断是 ( )

A、鹿角状结石
B、肾盂积水
C、肾动静脉畸形
D、黄色肉芽肿性肾盂肾炎
E、肾盂旁囊肿
关注下方微信公众号,搜题查看答案

热门试题
- 关于子宫内膜癌的分期,下列错误的是(
- 1、关于该病变,首选的检查方法是A、X线
- 尿路造影中,常见的异常征象有A、肾实质显
- 膀胱内发现新生物,CT增强扫描可强化,则
- 肾髓质钙化可见于下列哪种情况 (
- 关于肾结核以下哪项不正确A、肾盏扩张呈囊
- 中年女性,无何不适, B超查体偶然发现肾
- 先天性输尿管囊肿最好发部位是A、肾盂输尿
- 女,54岁, 发现腹部包块,根据所示图像
- 1、最可能的诊断是2、为明确病变的定位及
- 1、为明确诊断,最简便的影像学诊断方法是
- 发生在肾上腺髓质的肿瘤为A、肾细胞癌B、
- 常见的腹膜后肿瘤包括A、平滑肌肉瘤B、成
- 膀胱癌的起始症状不可能是( )。A、
- 先天子宫发育畸形包括A、重复子宫B、半隔
- 女,27岁, 体检时B超发现右侧附件区囊
- 完全位于腹膜后间隙的是A、肾上腺B、胰腺
- 女,44岁, 突发性胁腹部绞痛并向会阴部
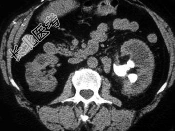
- 双肾CT平扫图像如下,符合下列何种疾病
- 较易出现钙化的肾上腺肿瘤是A、嗜铬细胞瘤