试题详情
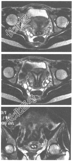
- 单项选择题患者,女性, 36岁,因不孕就诊。盆腔MRI图像如下, 最可能的诊断为

A、双角子宫
B、双子宫
C、完全性纵隔子宫
D、不完全性纵隔子宫
E、弓形子宫
关注下方微信公众号,搜题查看答案

热门试题
- 关于肾上腺皮质醇增多症的描述,不正确的是
- 泌尿系肿瘤最主要的临床特点是 (
- 男,47岁, 腰痛、腰胀2个月余伴低热、
- 肾上腺MRI检查的正常影像表现为A、T₁
- 尿路造影中常见肾盂肾盏、输尿管及膀胱内充
- 肾癌X线血管造影中,错误的是 (
- 在肾上腺疾病中,下列哪项为肾上腺髓质病变
- 单侧肾绞痛伴血尿者,腹部平片无异常, 静
- 在慢性输尿管阻塞时输尿管表现为 (
- 正常成人前列腺最大径是 ( )A
- 关于膀胱癌的CT表现,正确的是A、可区别
- 下述关于子宫肌瘤介入治疗的适应证,正确的
- 肾血管性高血压,其下列哪种方法适于诊断A
- 女,45岁, 满月脸、向心性肥胖2年余,
- 女,32岁, 因停经46天,少许不规则阴
- 中年女性,无何不适, B超查体偶然发现肾
- CT在膀胱癌诊断上的主要作用是A、区别肿
- 下述关于宫颈癌的CT表现,错误的是A、宫
- 下列哪项对库欣综合征描述不正确A、属于肾
- 下列关于肾上腺腺瘤的叙述,哪项不正确A、