试题详情
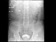
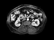
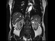
- 多项选择题男,67岁, 无痛性血尿1月,IVP和MRI检查如图示, 下列说法正确的是 ( )

A、IVP示左侧中组肾盏未见显影
B、左肾中部内侧可见类圆形不均匀信号肿块突向外
C、左肾上极可见一T
WI为高信号圆形病灶,边界清楚D、左肾中部病灶考虑为小肾癌
E、左肾上极病灶考虑为肾囊肿
关注下方微信公众号,搜题查看答案

热门试题
- 下列哪种表现多见于肾上腺良性肿瘤 (
- 子宫内膜癌侵犯深肌层的主要影像学征象是A
- 关于子宫内膜癌,不正确的是A、是子宫内膜
- 患者肾移植术后8年,根据所提供的图像,
- 患者,女, 58岁。胃癌切除术后2个月,
- 1、对该病变CT影像表现描述正确的是(
- 关于肾癌CT增强扫描的描述,不正确的是A
- 阴内动脉成形术的禁忌证是A、完全性阳痿B
- 下列何种疾病不属于肾先天性发育异常A、异
- 最常见的子宫肌瘤类型( )。A、肌壁
- 关于肾动脉CTA,哪些说法正确A、属于C
- 女,45岁, 满月脸、向心性肥胖2年余,
- 下列哪项对库欣综合征描述不正确A、属于肾
- 肾细胞癌MRI增强扫描的强化特点是A、延
- 有关肾脏CT检查的描述,错误的是A、正常
- 关于膀胱及其恶性肿瘤的下列MRI描述哪项
- 关于肾转移癌描述,错误的是 (
- 下列何种检查方法对肾癌诊断具有决定意义A
- 1、首先诊断2、关于该病的描述,正确的是
- “肾胚胎瘤”诊断要点,下列哪项错误