试题详情
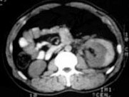
- 多项选择题女,34岁, 左侧腰部疼痛,有外伤史, CT检查如图所示,下列说法正确的是 ( )

A、左肾外缘有“半月”形的高密度影
B、脾下缘可见不规则的高密度影
C、左肾受压变形
D、考虑为左肾包膜下出血
E、考虑为脾出血
关注下方微信公众号,搜题查看答案

热门试题
- 该患者因血尿急诊,根据所提供图像, 最可
- 关于正常肾脏MRI表现,错误的是A、肾盂
- 对疑为肾动脉狭窄患者,不能进行诊断的影像
- 最常发生肾上腺转移瘤的原发性肿瘤是:A、
- 下列疾患中不宜做静脉肾盂造影的是 (
- 肾结核主要依靠哪种X线检查进行诊断为宜A
- 肾上腺双侧性肿块,可见于A、肾上腺转移瘤
- 患者,女, 28岁。葡萄胎清宫术后4个月
- 结合所示图像,右肾、骨盆和膀胱的充盈缺损
- 肾盂癌的典型症状是( )。A、腰部钝
- 下列宜进行静脉尿路造影检查的是A、碘过敏
- 下述睾丸肿瘤诊断要点,哪项不对A、多为恶
- 患者19岁,肾性高血压, 根据图像,对其
- 男,57岁, 腹部隐痛不适伴低热2月余,
- 腹膜后良性肿瘤中不包括 ( )A
- 在下列卵巢肿瘤中,哪种肿瘤不产生性激素
- 正常肾脏的MRI表现是A、T
- 关于腺性膀胱炎,描述正确的是A、慢性感染
- 下列有关前列腺癌的临床分期,描述正确的是
- 先天子宫发育畸形包括A、重复子宫B、半隔