试题详情
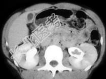
- 单项选择题该患者因血尿急诊,根据所提供图像, 最可能的诊断是 ( )

A、肾结石
B、血块
C、移行细胞癌
D、息肉
E、以上都不是
关注下方微信公众号,搜题查看答案

热门试题
- 下列不是原发性良性腹膜后肿瘤的是(
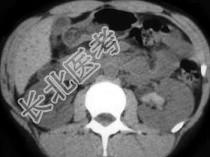
- 根据所提供的图像,该患儿最可能的诊断为
- 下列哪项腹部平片无法显示 ( )
- 关于“膀胱结石”的特点,下列说法错误的是
- 下述子宫肌瘤的CT表现,错误的是A、子宫
- 关于脐尿管,正确的说法是A、闭锁的脐尿管
- 输卵管结核感染的途径,错误的是A、血行感
- 有关正常成人肾脏,描述正确的是 (
- 肾上腺转移癌最常来自 ( )A、
- 静脉肾盂造影立位片,左肾位于盆腔内,可上
- MRI显示和检出前列腺癌主要依靠的是
- 下述关于宫颈癌CT表现,正确的是A、宫颈
- 关于前列腺癌的MRI表现,下列哪项是错误
- CT诊断肾血管平滑肌脂肪瘤的关键是
- 关于膀胱肿瘤,错误的是A、MRI对膀胱肿
- 关于输尿管,错误的是A、输尿管全长25~
- 膀胱结石的典型症状为( )。A、尿频
- 成人泌尿系最常见的肿瘤( )。A、肾
- 女,45岁, 满月脸、向心性肥胖2年余,
- 膀胱结核肾盂造影表现为A、膀胱挛缩、变小