试题详情
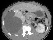
- 单项选择题患者19岁,肾性高血压, 根据图像,对其原因的评价, 正确的诊断为 ( )

A、嗜铬细胞瘤
B、肾动脉狭窄
C、肾癌
D、Page(佩奇氏)肾
E、以上都不是
关注下方微信公众号,搜题查看答案

热门试题
- 下列宫颈癌知识,哪项不对A、鳞癌多见B、
- 子宫内膜在矢状位扫描中为A、T
- 输尿管结石的并发征象包括( )A、多
- 关于膀胱肿瘤,错误的是A、MRI对膀胱肿
- 下列何种疾病不属于肾先天性发育异常A、异
- 根据所提供的图像该病例肾上腺的病理结果最
- "小膀胱征"多见于A、膀胱息肉B、膀胱结
- 女,45岁, 满月脸、向心性肥胖2年余,
- 卵巢囊性畸胎瘤的声像图表现,下列不正确的
- 下列典型肾细胞癌MRI表现的是 (
- 女,30岁。阵发性高血压伴出汗、头痛和心
- 肾脊角正常为A、5°~10°B、10~1
- 肾上腺囊肿的诊断,错误的是A、超声检查是
- 患者,男,52岁。反复无痛性肉眼血尿伴条
- 下述正常前列腺影像,正确的是( )。
- 患者,中年男性。无痛性全程血尿半月余,I
- 关于脐尿管,正确的说法是A、闭锁的脐尿管
- 关于膀胱平滑肌瘤,正确的说法有A、不易出
- 下列哪项不是肾上腺腺瘤的CT表现 (
- 男性,56岁。尿频、尿急3个月余, 肉眼