试题详情
- [材料题] 患者女性,52岁,间断头晕、乏力伴血压升高7年。
- 多项选择题1.在选择影像检查方法前,应先了解患者哪些临床信息( )
A、是否有恶性肿瘤病史
B、高血压的发作情况
C、腹部症状
D、血常规检查
E、既往影像检查结果
F、肾上腺功能的化验检查
关注下方微信公众号,搜题查看答案

- 多项选择题2.[提示]患者血钾3.33mmol/L(正常值范围:3.5~5.3mmol/L)。进一步检查可选择的影像学方法是( )
A、腹部CT平扫
B、腹部X线
C、腹部PET/CT
D、腹部CT平扫+增强
E、腹部DSA
F、腹部MRI平扫+增强
关注下方微信公众号,搜题查看答案

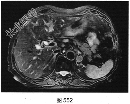
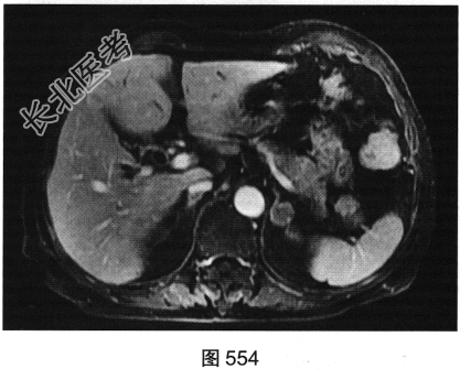
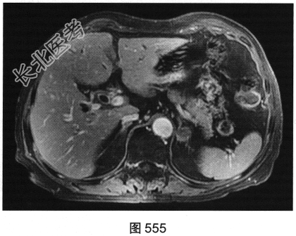
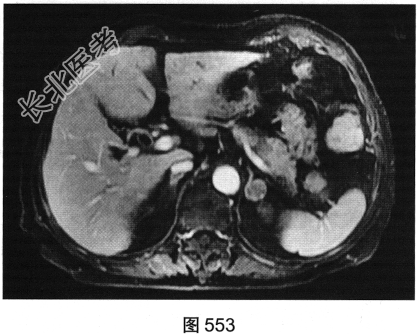
- 多项选择题3.[提示]MRI平扫+增强(图550~图555):T1WI正相位, 左侧肾上腺外侧肢可见类圆形T1WI稍高信号结节。T1WI反相位,结节信号明显减低。T2WI脂肪抑制, 结节呈均匀低信号。动态增强,动脉期结节轻度均匀强化, 静脉期结节呈相对低信号,延迟期结节呈相对低信号。可考虑的鉴别诊断为( )




A、肾上腺皮质腺瘤
B、肾上腺皮质癌
C、肾上腺转移瘤
D、肾上腺神经节细胞瘤
E、肾上腺嗜铬细胞瘤
F、肾上腺血肿
关注下方微信公众号,搜题查看答案

- 多项选择题4.综合影像诊断考虑肾上腺腺瘤的可能,其特征性表现为( )
A、肿瘤成分
B、有淋巴结转移
C、有局部侵袭性
D、有骨转移
E、肿瘤大小
F、肿瘤强化
关注下方微信公众号,搜题查看答案

热门试题
- 盆腔充气造影时发现于子宫两侧,近盆壁处各
- 子宫内膜癌Ib期的MRI表现是 (
- 如图所示,根据这两个时相分析, 最可能的
- 与长期透析的继发囊肿CT表现不符的是A、
- 女性,36岁。无任何症状, 体检时超声发
- 关于“子宫输卵管造影价值”,下列说法错误
- 子宫内膜异位最常见于A、腹膜B、单侧卵巢
- 因血尿行栓塞治疗,结合所示图像, 最可能
- 1、该患者的诊断首先考虑为2、当病变进展
- 下列哪些改变属于神经源性膀胱A、脊髓病变
- 移植肾多位于A、原肾上方B、原肾下方C、
- 男,36岁, 反复发作的右侧腰背部疼痛伴
- 关于膀胱的MR检查,错误的是A、呈均匀长
- 结合所示图像,最可能的诊断是 (
- 鞘膜积液的临床类型可分为 (
- 输卵管闭塞最好的诊断手段是A、X线平片B
- CT平扫如下图所示,符合下列哪种诊断
- 关于肾上腺血供,下列哪种说法正确A、肾上
- 在逆行性尿路造影检查中,可能出现下列哪种
- 患者,女, 38岁。头晕,乏力, 血压: