试题详情
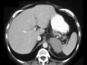
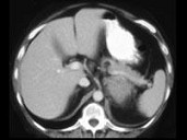
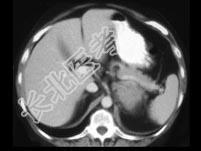
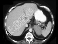
- 单项选择题女,47岁, 满月脸、向心性肥胖伴高血压1月,结合图像, 最可能的诊断是 ( )

A、左肾上腺腺瘤
B、左肾上腺腺癌
C、左肾上腺转移癌
D、左肾上腺嗜铬细胞瘤
E、左肾上腺增生
关注下方微信公众号,搜题查看答案

热门试题
- 行子宫输卵管碘油造影时,何时摄第二片A、
- 肾血管疾病不包括 ( )A、肾动
- 以下不属于急性弥漫型肾盂肾炎CT表现的是
- 1、在选择影像检查方法前,应先了解患者哪
- 关于膀胱炎的X线检查,错误的是A、急性期
- 女性,36岁。无任何症状, 体检时超声发
- 卵巢囊性肿瘤哪些征象提示恶性可能A、肿瘤
- 1、选择影像检查方法前,应先了解哪些临床
- 下列哪项对腹膜后肿瘤描述正确 (
- 关于黄色肉芽肿性肾盂肾炎,下列叙述正确的
- 肾细胞癌MRI增强扫描的强化特点是A、延
- 女,27岁, 寒战高热、尿频、尿痛3天,
- 髂动脉狭窄经皮穿刺动脉成形术的适应症是
- 1、该患者首选的诊断为2、进一步首选检查
- 肾癌动脉血管造影,正确的表现是A、肾动脉
- 肾上腺皮质增生的MRI表现是A、双侧肾上
- 鉴别肾盂脓肿与非感染性肾盂积水的最好检查
- 女,46岁。下腰部不适半年, 加重2周。
- 脐尿管癌最常见的组织学类型是A、移行细胞
- 前列腺癌的转移,以骨转移最常见, 转移部