试题详情
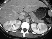
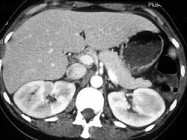
- 单项选择题如图所示,根据这两个时相分析, 最可能的诊断是 ( )

A、肾淋巴瘤
B、急性肾盂肾炎
C、肾梗死
D、肾癌
E、肾囊肿
关注下方微信公众号,搜题查看答案

热门试题
- 女,30岁。阵发性高血压伴出汗、头痛和心
- 男,37岁, 阵发性高血压1月余,结合所
- 输卵管积脓的MR信号特点是( )A、
- 排异反应分四型不属于其分型的是 (
- 肾上腺营养不良的脑白质改变主要发生在
- 肾周间隙内的组织或结构为A、肾上腺B、肾
- 肾上腺营养不良主要发生在 ( )
- 膀胱癌最好发于 ( )A、三角区
- 关于小肾癌,错误的是A、肿瘤直径等于或小
- 肾上腺非功能性病变包括下列哪些疾病
- 苗勒管畸形影像学检查目的不包括( )
- 女,34岁, 无意中发现血压升高4个月就
- 发生于膀胱上皮的肿瘤是 ( )A
- 男,45岁, 右腰部隐痛不适伴无痛性肉眼
- 患者腹胀,盗汗, 结合所示图像,最可能的
- 卵巢囊性肿瘤哪些征象提示恶性可能A、肿瘤
- 在慢性输尿管阻塞时输尿管表现为 (
- 男,66岁, 排尿困难多年,感会阴部疼痛
- 下列关于肾上腺良、恶性肿瘤鉴别点的描述,
- 男,31岁, 体检时超声发现右肾上腺区病