试题详情
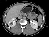
- 单项选择题男,45岁, 右腰部隐痛不适伴无痛性肉眼血尿1月,结合所示图像, 最可能的诊断是 ( )

A、右肾癌
B、右肾血管平滑肌脂肪瘤
C、右肾感染性囊肿
D、右肾盂癌
E、右肾脓肿
关注下方微信公众号,搜题查看答案

热门试题
- 肾盂肿瘤首选检查方法为( )A、B型
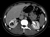
- 因血尿行栓塞治疗,结合所示图像, 最可能
- 子宫内膜癌侵犯深肌层的主要影像学征象是A
- 在泌尿系统影像学检查中,尿路造影是常用的
- 女,54岁, 发现腹部包块,根据所示图像
- 高密度性肾囊肿,最常见于 ( )
- 患者50岁,体重减轻, 发热,结合所示图
- 关于小肾癌,错误的是A、肿瘤直径等于或小
- 肾复合性囊肿不包括 ( )A、钙
- 肾癌MR表现,错误的是A、T
- 患儿,2岁, 因腹部包块就诊,超声发现右
- 肾上腺营养不良主要发生在 ( )
- 关于子宫内膜癌的分期,下列错误的是(
- 关于“子宫输卵管造影”禁忌证,错误的是
- 对诊断膀胱嗜铬细胞瘤有重要意义的是A、头
- 肾上腺皮质增生的MRI表现是A、双侧肾上
- 关于卵巢巧克力囊肿,下列描述哪项不对A、
- 患者,女, 28岁。葡萄胎清宫术后4个月
- 下列关于卵巢癌的CT表现有哪些A、盆腔内
- 下列哪一项不是卵巢癌腹腔种植的常见部位A