试题详情
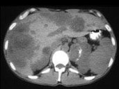
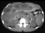
- 多项选择题男,37岁, 阵发性高血压1月余,结合所示图像, 最可能的诊断是 ( )

A、左侧肾上腺癌
B、左侧恶性嗜铬细胞瘤
C、左侧肾上腺转移癌
D、肝转移癌
E、原发性肝癌
关注下方微信公众号,搜题查看答案

热门试题
- 在立位透视时,节育环正常位置通常在
- CT对于诊断前列腺癌的主要意义在于
- 女,45岁, 满月脸、向心性肥胖2年余,
- 1、该患者的诊断首先考虑为2、当病变进展
- 患者,女, 54岁。血尿1年余,右腰痛1
- 男,2岁, 触及腹部包块,未及肿大淋巴结
- 下列哪些改变属于神经源性膀胱A、脊髓病变
- 膀胱癌的CT表现有哪些 ( )
- 除神经鞘瘤外,腹膜后其他少见良性肿瘤不包
- IVP示“肾盂显影浅淡”,下列哪项错误
- 肾上腺非功能性病变包括下列哪些疾病
- 泌尿系统先天性发育异常最常见的部位是A、
- 男,36岁, 反复右侧腰部疼痛2年余,C
- 可用于肾癌栓塞的方法有 ( )
- 男,36岁, 反复发作的右侧腰背部疼痛伴
- 下列关于卵巢癌的说法,不正确的是A、来源
- 1、首先诊断2、关于该病的描述,正确的是
- 关于肾上腺结核,正确的说法有A、继发于身
- 以下输尿管肿瘤中哪类不属恶性A、移行上皮
- 1、首先要考虑的疾病是( )。A、子