试题详情
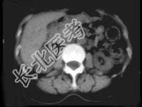
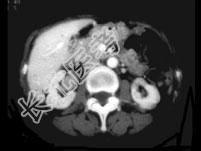
- 单项选择题男,74岁, 间歇性无痛性全程血尿2月余,尿路造影及CT平扫+增强如图所示, 下列说法错误的是 ( )

A、尿路造影示右侧肾盂内不规则的充盈缺损征象
B、CT平扫示右侧肾盂内软组织块影
C、增强扫描示右侧肾盂内软组织块影轻度强化
D、考虑为右侧肾盂癌
E、考虑为右侧肾盂内血块
关注下方微信公众号,搜题查看答案

热门试题
- 女,28岁, 持续性腰痛加重2天,伴尿频
- 关于“肾血管平滑肌脂肪瘤”描述,错误的是
- 下列关于卵巢癌MRI的描述,正确的有A、
- 下列何种疾病不属于肾先天性发育异常A、异
- 输卵管僵硬、狭窄、扩张或不通最常见的原因
- 正常肾脏的MRI表现是A、T
- 女,26岁, 临床诊断为绒毛膜癌,行经腹
- 输卵管结核的X线表现中描述不妥的是A、输
- CT对于诊断前列腺癌的主要意义在于
- 输尿管结核患者,静脉肾盂造影的典型表现为
- 1、首先考虑哪种疾病2、可能出现伴发病变
- 下列哪种肿瘤是由不同比例的血管、平滑肌和
- 1986年Bosniak根据CT征象提出
- 女,55岁, 结合所示图像,最可能的诊断
- 下述子宫输卵管结核最多见的X线表现是A、
- 女性盆腔内软组织肿块,向上可达下腹部,
- 关于子宫输卵管造影的目的,错误的是A、了
- 关于肾盂肾盏运动的描述,正确的为A、收缩
- 关于女性生殖系统的超声检查,不正确的是A
- 血中儿茶酚胺升高的肾上腺肿瘤有( )