试题详情
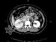
- 单项选择题女,27岁, 寒战高热、尿频、尿痛3天,尿检: 白细胞(+++),CT平扫及增强扫描如图所示, 下列说法错误的是 ( )

A、右肾体积增大
B、增强后右肾实质内可见条片状密度减低区
C、左肾未见异常
D、考虑为急性肾盂肾炎
E、考虑为慢性肾盂肾炎
关注下方微信公众号,搜题查看答案

热门试题
- CT扫描,正常前列腺上限一般不超过耻骨联
- 关于"间质性膀胱炎"描述,下列哪项是错误
- “急性肾静脉栓塞”造影检查,可出现的表现
- 女,13岁, 1年前出现月经来潮,4个月
- 下列哪些疾病肾盂内有充盈缺损A、肾梗死B
- 关于子宫解剖的MRI表现,描述正确的是A
- 肾上腺营养不良的脑白质改变主要发生在
- 异位肾不需要与以下哪种病变相鉴别A、游走
- 肾上腺腺瘤的CT表现为A、密度均匀的类圆
- 男,33岁, 反复尿频,尿急, 尿痛3年
- 下列肾囊肿的CT表现中不正确的是A、圆形
- 关于肾上腺转移癌的描述,下列说法不正确的
- 在立位透视时,节育环正常位置通常在
- 1、本例最可能的诊断为2、关于该病CT表
- 患者50岁,体重减轻, 发热,结合所示图
- 男性,56岁。尿频、尿急3个月余, 肉眼
- 关于睾丸精原细胞瘤,下列说法不正确的是A
- 前列腺穿破包膜的可靠征象是A、前列腺包膜
- 高密度性肾囊肿,最常见于 ( )
- 输尿管壁内段的长度是 ( )A、