试题详情
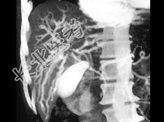
- 单项选择题患者中年,男性, 黄疸,ERCP术后, 三维图像如图,最可能的诊断为 ( )

A、胰腺癌
B、末梢胆管狭窄
C、胆管癌
D、肝门区肝癌
E、十二指肠癌
关注下方微信公众号,搜题查看答案

热门试题
- 下列胃溃疡并发症中,哪种不宜钡餐检查
- 关于肝脏囊腺瘤,错误的是A、常见于30岁
- 双重造影诊断慢性胃炎的标准是A、黏膜纹粗
- 良好充盈CT像上,正常消化道壁解剖, 下
- 临床有“低蛋白血症”,则可除外哪种疾病
- 关于胆管结石CT表现,错误的是 (
- 下列有关副脾的不正确说法是A、最常见于脾
- 关于肝内胆管细胞癌的叙述,正确的是A、多
- 肝右前叶病灶,结合图像, 最可能的诊断是
- 以下关于胰腺疾病的MRI表现中哪项不对A
- 女,66岁, 进行性吞咽困难,胸骨后疼痛
- 女,34岁, 右上腹痛,有发热, 白细胞
- 胃壁增厚,结合图像, 该病例的鉴别诊断包
- 根据所提供的图像,该病例的最可能的诊断为
- 关于胰腺癌的MRI表现,正确的是A、T<
- 关于食管静脉曲张的影像表现错误的是(
- 根据所提供的图像,可除外下列哪种诊断
- 胰头癌与壶腹癌的鉴别要点是A、十二指肠区
- 女,9月, 右上腹包块伴黄疸,结合CT图
- 下列关于肠套叠的描述,错误的是 (