试题详情
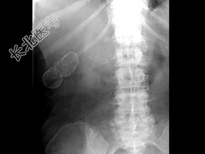
- 单项选择题女,39岁, 右上腹部隐痛,有慢性胆囊炎史, 曾经做过口服胆囊造影,胆囊显影差, X线检查如图,最可能的诊断是 ( )

A、急性胆囊炎
B、慢性胆囊炎
C、胆囊结石
D、瓷样胆囊
E、胆囊结核
关注下方微信公众号,搜题查看答案

热门试题
- 女,55岁, 右上腹痛,消瘦乏力3月,
- 1、结合病史,该患者最可能的诊断是A、脂
- 根据所提供的图像,该患者的最可能的诊断为
- 正常食管壁厚度大约为 ( )A、
- 根据所提供的图像,最可能的诊断是 (
- 下列有关“非梗阻性胃扩张”原因中,错误的
- 下列关于溃疡的描述,错误的是 (
- 下列哪一项不正确是壁厚性胆囊癌的CT特征
- 对于直肠癌术前CT检查时,哪种征象提示病
- 早期胃癌的分型依肉眼形态为 (
- 下列正常胰腺CT表现,哪项不对 (
- 胃肠道憩室于钡剂造影时,最不易充盈的是
- 关于獭尾肝的描述哪些正确 (
- 1、最有可能的诊断是( )。A、肝细
- 男,56岁, 排便形状改变,便后不尽感,
- 肝局灶性结节增生与肝小腺瘤鉴别诊断中,前
- 关于FNH,叙述错误的有( )A、M
- 关于肝脏囊腺瘤,错误的是A、常见于30岁
- 肝脏上皮样血管内皮瘤的特征性影像是(
- 结合图像,最可能的诊断为 ( )