试题详情
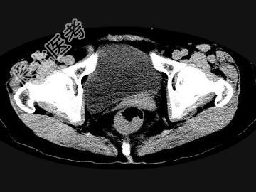
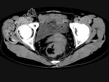
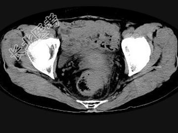
- 单项选择题男,56岁, 排便形状改变,便后不尽感, CT检查如图所示,下列说法正确的是 ( )

A、肠壁上有蒂状新生物
B、其表面光滑,边界清楚
C、肠腔未见狭窄
D、此为直肠息肉
E、此为直肠癌
关注下方微信公众号,搜题查看答案

热门试题
- 关于消化道出血灌注并发症,正确的是
- 下列脾脏原发性恶性肿瘤中,哪种最为常见
- T1加权像,下述肝占位信号强度描述哪项不
- 下列哪种X线征象是食管静脉曲张与食管癌的
- 下面哪一项不是慢性胆囊炎的CT表现A、胆
- 下腔静脉受肝癌侵犯和癌栓形成CT表现
- 属于胰腺外分泌性肿瘤者 ( )
- 男,30岁, B超查体发现肝右叶4cm大
- 下列“绞窄性肠梗阻”平片征象,错误的是
- 以下正常食管X线解剖的说法,哪项不对
- 患者,女, 65岁。上腹部隐痛不适伴进行
- 2/3胃次全切除术后,不常见的并发症是
- 下列哪项不是胃静脉曲张的CT表现 (
- 下列脾脏病变CT增强扫描特点,错误的是A
- 良性胃溃疡好发于 ( )A、贲门
- 女性,41岁, 吞咽困难3年,有时进流质
- 胆管扩张行胆管造影的常用方法是哪项A、P
- 1、根据以上临床资料,最需要鉴别诊断的是
- 根据所提供的图像,最可能的诊断是 (
- 早期胃癌浅表型(Ⅱ型)的X线表现为A、肿