试题详情
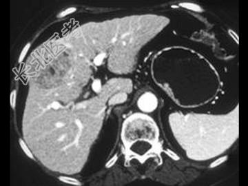
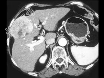
- 单项选择题女,55岁, 右上腹痛,消瘦乏力3月, 结合图像,最可能的诊断是 ( )

A、肝血管瘤
B、肝腺瘤
C、肝癌
D、肝脓肿
E、肝转移癌
关注下方微信公众号,搜题查看答案

热门试题
- 女,47岁, 曾患乙肝,现右上腹及肝区疼
- 超声检查时,下列哪组血管是胰腺的定位标志
- 食管静脉曲张是下列哪种疾病的重要并发症
- MRI在轴位胰腺水平显示肠系膜上动、静脉
- 肠套叠的超声表现,不正确的是A、短轴图像
- 女,24岁, 脐左旁疼痛2年。体检:脐左
- MRI动态增强扫描,动脉增强早期, 下列
- 下列不是脂肪肝的CT表现的是A、肝脏实质
- 关于结肠癌,下列哪项是错误的 (
- 小肠Crohn病的X线征象包括 (
- 下列哪项不是肠结核手术的适应证A、完全肠
- 中年患者,女性, 偶然发现肝团块,结合图
- 关于肝门部结构的描述,哪项不正确 (
- 患者,男, 50岁,持续性上腹痛, 柏油
- 男,18岁, 患者皮肤挫伤,用林可霉素预
- 女,63岁, 右上腹疼痛,呈不规律性钝痛
- 下列关于“小儿套叠灌肠复位”成功标志,错
- 肝癌动态增强CT扫描分三期名称顺序均正确
- 1、下列说法不正确的是2、如该患者诊断为
- 男,48岁, 吞咽不适、返酸3年,结合图