试题详情
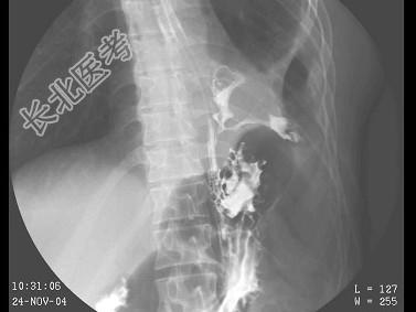
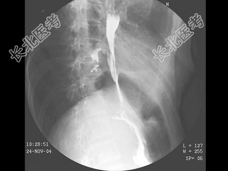
- 单项选择题女,39岁, 左下肺叶切除术后。体检:左下肺呼吸音弱, 行胸腔闭式引流术,引流出脓性分泌物。结合图像, 最可能的诊断为 ( )

A、正常表现
B、会厌征
C、食管憩室
D、食管溃疡
E、食管下段胸腔瘘
关注下方微信公众号,搜题查看答案

热门试题
- 1、该患者的黄疸类型属于( )A、溶
- 诊断肠结核最主要的X线征象是A、左半结肠
- 患者腹痛,结合图像, 最可能的诊断是
- 食管粘膜一般有几条粘膜皱襞 (
- 根据所提供的图像,最可能的诊断是 (
- 有关结肠憩室的描述,正确的是 (
- 根据所提供的图像,最可能的诊断是 (
- 男,40岁, 半年前因双下肢麻木、发凉、
- 结肠双对比X线造影检查可显示的最小解剖单
- 关于胰腺炎,错误的是( )。A、急性
- 食管裂孔疝的间接X线征象有 (
- “中晚期胃癌”分型中,不包括哪型 (
- 门静脉主干正常宽径 ( )A、≤
- 右上腹痛伴黄疸,可能的诊断为A、胆囊癌B
- 男,54岁,B超体检示肝左叶强回声团块影
- 哪些是肝癌肝动脉造影时的表现 (
- 下列麻痹性肠梗阻的X线表现中,哪项不正确
- 根据所提供的图像,最可能的诊断是 (
- 应用球囊扩张术治疗贲门失弛症时选用球囊的
- 根据所提供的图像,最可能的诊断是 (