试题详情
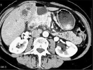
- 单项选择题患者70岁,体重减轻, 结合图像,最可能的诊断是 ( )

A、黑色素瘤转移
B、结肠癌转移
C、肝癌
D、胆囊癌
E、以上都不是
关注下方微信公众号,搜题查看答案

热门试题
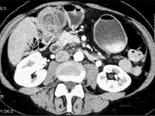
- 根据所提供的图像,最可能的诊断为 (
- 慢性血吸虫肝病CT检查可发现 (
- 有关肝硬化的CT表现,正确的是A、肝左叶
- BCS介入治疗的并发症有 (
- 急性腹膜炎的X线表现有 ( )
- 患者肥胖,50岁, 男性,CT如图所示,
- 女,80岁, 胃胀痛20多天,体检: 剑
- 引起回盲瓣肥厚的最常见原因是 (
- 属于腹膜间位器官的有哪些 (
- 患者,男,36岁。腹痛伴低热半年。灌肠示
- 下列食管狭窄性病变不适合单纯利用球囊成形
- 下列有关胰腺的描述,错误的是 (
- 脾脏最常见的原发恶性肿瘤是 (
- 1、首选检查方法为2、如果腹部CT提示早
- 慢性胰腺炎MRI表现包括A、胰腺肿大B、
- 1、根据以上临床资料,最需要鉴别诊断的是
- 胆道系统MRI检查时不常用的序列是
- 有关胆囊腺肌增生症的说法,错误的是
- “Gardner综合征”患者,临床无
- 早期胃癌的叙述正确的是A、可分为二个类型