试题详情
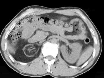
- 单项选择题男,18岁, 外伤后1小时,CT扫描如图, 最可能的诊断是 ( )

A、肾包膜下积液
B、肾脓肿
C、先天性肾萎缩
D、肾包膜下积血
E、肾挫裂伤
关注下方微信公众号,搜题查看答案

热门试题
- 下列疾病中可造成局部胃壁僵硬的是(
- 腹部外伤常受累脏器依次是 ( )
- 属于阑尾异位阑尾的位置是A、盲肠内侧B、
- 关于肝局灶性结节增生的病理改变的描述,正
- 肝海绵状血管瘤MRI特征所见是T
- 下列有关早期胃癌的分型中,正确的有 (
- 男,34岁, 不规则上腹痛1月,如图,
- 急性出血坏死型胰腺炎的并发症不包括A、蜂
- 1、根据以上临床资料及影像学检查,可基本
- 1、为明确诊断,不需要检查的项目是2、胸
- 女,34岁, 咳嗽,腰背疼痛二年, CT
- 44岁男性,T1加权像示全肝均匀分布直径
- 男,18岁,疲乏,贫血貌,CT示脾前缘近
- 下列“肝腺瘤”病理,错误的是 (
- 肝癌的分型描述正确的是A、巨块型瘤块直径
- 腹水在X线平片上的表现为 (
- 关于肝癌CT平扫表现,描述错误的是A、大
- 女,46岁, 排便困难,结合图像, 最可
- 女性,50岁, 因右上腹痛2个月入院。腹
- 关于胰腺在CT图像上的识别标志,下述哪项