试题详情
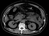
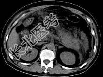
- 单项选择题根据所提供的图像,最可能的诊断是 ( )

A、胰腺癌
B、急性胰腺炎
C、慢性胰腺炎
D、正常胰腺
E、以上都不是
关注下方微信公众号,搜题查看答案

热门试题
- 女性,45岁。急性上腹部持续性疼痛, 程
- 肝内病变的MRI表现,正确的是 (
- 女,5岁, 食欲差伴消瘦4年。如图所示,
- 第二肝门的解剖结构组成是A、肝左、肝中、
- 下列"结肠癌"的造影表现,哪项也可见于良
- 根据所提供的图像,最可能的诊断是 (
- 关于麻痹性肠梗阻的X线表现,错误的是
- 男,70岁, 上腹痛不适伴黄疸1个月余,
- 按胆结石的化学成分划分,胆囊结石分为哪三
- 哪些是肝癌肝动脉造影时的表现 (
- 起源于非上皮的胃良性肿瘤为 (
- 根据所提供的图像,最可能的诊断是 (
- 在婴儿腹立位片上,可见双泡征疾病的是
- 女,50岁, 曾患乙型肝炎,肝硬化多年,
- 充盈良好的胃CT像,胃的哪一部分最厚A、
- 肠结核可以发生在下述哪些部位 (
- MRCP显示的"双管征"最常发生于A、胰
- 1、依据上述资料,该患者最可能的诊断是(
- 局灶性肝脂肪浸润可有以下CT表现 (
- 出现膈下游离气体的原因是 ( )