试题详情
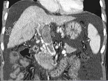
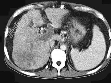
- 单项选择题女,50岁, 曾患乙型肝炎,肝硬化多年, 右上腹胀痛1月余,CT检查如图所示, 最可能的诊断为 ( )

A、肝硬化、腹水伴胆管细胞癌
B、肝硬化、腹水伴原发性肝癌
C、肝硬化、腹水、肝癌并门脉癌栓
D、肝硬化、腹水并肝脓肿
E、肝硬化、腹水并肝血管瘤
关注下方微信公众号,搜题查看答案

热门试题
- 有关溃疡性结肠炎的说法中,错误的是
- 男,75岁, 吞咽困难3月,伴胸痛, 结
- 1、应诊断哪种疾病2、进一步明确诊断需做
- 胃静脉曲张常发生的部位是 (
- 单纯性肠梗阻属于A、动力性肠梗阻B、血运
- 男,65岁, 右上腹部疼痛不适,乏力4月
- 女,35岁, 体检发现右上腹包块,有口服
- 关于肝脏囊腺瘤,错误的是A、常见于30岁
- PTCD术的并发症有A、胆道出血B、对比
- 早期食管癌分为 ( )A、硬化
- 患者4岁,结合图像, 最可能的诊断为
- 关于小肠肿瘤的CT诊断,错误的是 (
- 下列哪种疾病"充盈缺损"表现不明显A、增
- 根据所提供的图像,最可能的诊断为 (
- 下列“十二指肠”解剖特点,错误的是
- 根据所提供的图像,该患者最可能的诊断为
- 结合图像,最可能的诊断为 ( )
- 转移性肝癌MRI检查最具特征性的征象是A
- 平坦型糜烂性胃炎与早期胃癌短期治疗后的鉴
- 肝硬化合并肝癌的发病率为 ( )