试题详情
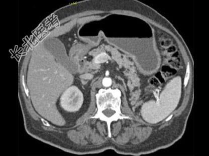
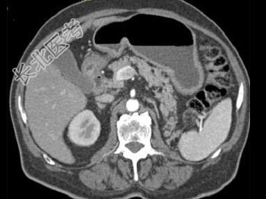
- 单项选择题根据所提供的图像,最可能的诊断是 ( )

A、胰腺脂肪瘤
B、正常胰腺
C、胰腺癌
D、胰腺转移癌
E、以上都不是
关注下方微信公众号,搜题查看答案

热门试题
- 关于肝脏淋巴瘤,说法错误的是A、合并免疫
- 下列关于肝门解剖结构的排列,正确的是A、
- 钡餐示“食管远端鸟嘴样狭窄”,则可除外
- 患者有镰刀形红细胞特征,结合图像, 最可
- 腹膜腔肿瘤X线腹部平片检查时可表现为
- 关于食管静脉曲张的叙述不正确的是A、由门
- 典型肝脏血管瘤的MRI表现是 (
- 1、根据以上病史,最可能的诊断是(
- 女,39岁, 左下肺叶切除术后。体检:左
- 小肠排空延迟,指口服钡剂超过几小时未全部
- 胰腺钙化可见于( )A、胰腺癌B、慢
- 关于淋巴结转移癌,下列描述不正确的是A、
- 属于功能性胰岛细胞肿瘤的有哪些 (
- 先天性巨结肠的常见X线征象是 (
- 患者发热,结合图像, 最可能的诊断为
- 皮革胃的X线表现正确的是A、胃黏膜皱襞加
- 急性腹痛.呕吐,腹部有肠形及气过水声,作
- 肝内胆管分支的直径正常应当为 (
- 关于肠内气体叙述正确的是 ( )
- 小肠出血确诊的主要依据为 ( )